Van’da diş tedavisi gören bir hasta, implant vidasının soluk borusuna kaçması sonucu ölümle burun buruna geldi. Sol akciğere saplanan vida, uzun süren operasyonla yerinden oynatıldı ve hastanın güçlü bir öksürüğü sayesinde vücuttan doğal yollarla atıldı.
Van’ın İpekyolu ilçesinde yaşayan L.T. adlı hasta, özel bir diş kliniğinde implant tedavisi gördüğü sırada, vida parçası yanlışlıkla soluk borusuna kaçtı. Nefes borusuna giren vida, hastada hayati risk oluşturunca Van Eğitim ve Araştırma Hastanesi’ne sevk edildi.
https://www.youtube.com/watch?v=r6sVnw3N2BA
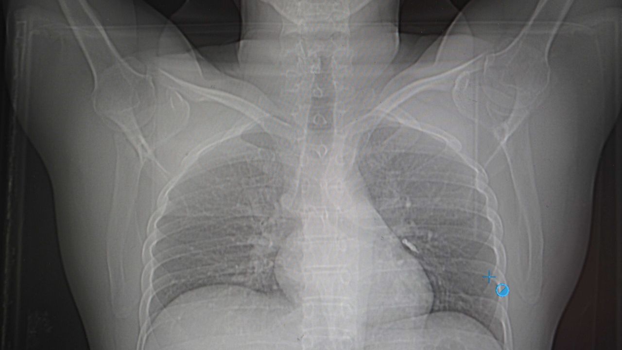
Göğüs Cerrahisi uzmanları Op. Dr. Sadullah Aksoy ve Op. Dr. Beniz İrem Ersoy Şığva’nın müdahalesiyle hastaya acil bronkoskopi uygulandı. Yapılan görüntülemede, implant vidasının sol akciğerin üst lobundaki bronşlardan birine saplandığı tespit edildi. Vidanın özel yapısı ve bulunduğu bölge nedeniyle çıkarılması oldukça güçleşti.
Op. Dr. Aksoy yaşananları şöyle anlattı:
“Hasta bize ulaştığında genel durumu iyiydi, ancak solunum yollarından birinde tıkanıklık söz konusuydu. Bronkoskopi sırasında, vida parçasının akciğerin dar bir bronşuna saplandığını gördük. Taş kırma cihazlarına benzer bir teknikle müdahale ettik. İlk denemede çıkaramadık ama yerinden oynatabildik.”
Müdahalenin ardından yeniden bronkoskopi planlandığı sırada hasta şiddetli bir öksürük geçirdi. Yapılan kontrollerde, implant vidasının akciğerden çıkıp mideye geçtiği belirlendi. Vida daha sonra doğal yollarla vücuttan atıldı.
Op. Dr. Ersoy Şığva ise ilk kez bu kadar sıra dışı bir vakayla karşılaştıklarını belirterek, “Bronşlara saplanan vidanın çıkarılması beklediğimizden uzun sürdü. Ancak hasta tamamen iyileşti ve hiçbir komplikasyon yaşanmadı” dedi.







