Dünya genelinde kalp hastalıkları, ölüm nedenleri arasında ilk sıralarda yer alıyor. Kalp rahatsızlıkları yalnızca damar tıkanıklığı yaşayan hastalarla sınırlı olmamakla birlikte tansiyon ve şeker hastaları da kalp hastalıkları açısından yüksek risk grubunda bulunuyor. Geçmişte kalp krizi sonrası hastaların yaşam şansı oldukça düşükken, günümüzde erken müdahale ile hayatta kalma oranı büyük ölçüde arttı. Ancak kalp krizinden kurtulan hastalarda zamanla kalp dokularında hasar oluşabiliyor ve bu durum kalp yetersizliği ile ritim bozukluklarına yol açabiliyor.
Konuya ilişkin açıklamalarda bulunan Sivas Medicana Hastanesi Kardiyoloji Bölümü Uzmanı Dr. İsmail Erdoğu, kalp pilinin önemine vurgu yaptı. Erdoğu, Yeni nesil kalp pillerinin MR cihazlarına girmeye imkan sağladığı, ancak tarama cihazlarından geçmenin önerilmediğini ifade ederek, "Soğuk hava nedeniyle oluşan titremeler, kalp pilinin kalbin durduğunu sanmasına ve yanlış şoklamaya yol açabilir. Bu nedenle hastalarımızın bu dönemlerde daha dikkatli olmalarını öneriyoruz" dedi.
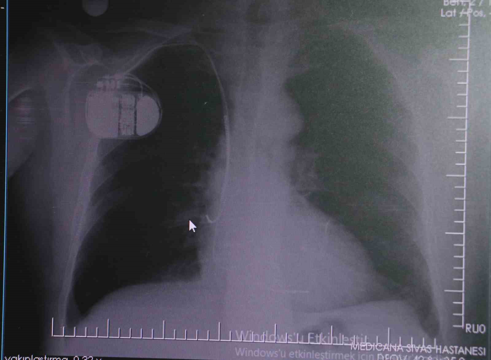
"Kalp piline ihtiyaç duyuluyor"
Kalp krizleri sonrası kalp dokusunun zarar gördüğünü söyleyen İsmail Erdoğu, "Dünyada artık kalp hastalıkları en sık ölüm sebeplerinden biri. Kalp hastalıklarında çok fazla grup var. Biz kalp hastalıkları deyince sadece kalbinde stent olan ve damarlarında sorun bulunan insanlardan bahsetmiyoruz. Aynı zamanda tansiyon ve şeker hastaları da kalp hastalıklarına aday. Toplumun yaklaşık yüzde 30-35’lik bir kısmını kapsıyoruz. Çok yaygın bir hastalık ve bu hastalıkta teknolojik kapsamda, ilaç konusunda son 30 yılda çok ciddi gelişmeler oldu. Geçmişte insanları hastanelerde kalp krizinden dolayı kaybederken şimdi hastaneye başvurular sonrasında yaşama tutunmak büyük oranda mümkün. Yaşanan ölümler ise genellikle hastaneye gelmeden önce gerçekleşmekte. Kalp krizinden kurtulmanın hastalarda belli bir bedeli oluyor. Kalp krizi sonrası kalpteki dokular zarar görüyor ve kalp yetersizliği oluşuyor. Bu kalp yetersizliği olan kalplerde ritim bozuklukları ve ani ölümler gibi sorunlar gündeme gelebiliyor. Bunlardan uzun vadede korunmak için hastalarda mutlaka bir kalp piline ihtiyaç duyuluyor" dedi.
"Soğuk havalarda temkinli olunması gerekiyor"
Kalp pilleri ile MR cihazına girilebileceğini belirten Erdoğu, "Çok büyük bir ameliyat değil ama yine de ciddi bir cerrahi işlem. Kalp pili, tıpta son 30 yılda yaşanan gelişmelerden en büyüğü. Bir bilgisayarın küçültülüp insan vücuduna konulmuş hali aslında. İnsan ömrünü ciddi oranda uzatan bir tedavi. İnsanlar bir şokla hayata tutunurken, pil olmasaydı öleceğini düşündüğümüz birçok hastamız var. Kalp pilinin bu özelliği, uygun hastalarda ciddi oranda ani ölümü engelliyor. Hastanın başına gelecek bir kalp durması durumunda yanında bir sağlıkçı yoksa, onun ritmini düzeltecek defibrilatör cihazı yoksa hastayı hayatta tutmak mümkün değil. Uygun endikasyonlarda kalp pili olduğu zaman, pil hastaların ritmini algılıyor ve acilde yapılan şoklamayı yaparak hastayı hayata döndürüyor. Kalp pillerinde yeni teknolojilerle MR’a girmek mümkün, tomografiye zaten girebiliyorlar. Tarama cihazlarından geçmelerini uygun görmüyoruz. Bu tarz durumlarda hastalarımız ’kalp pilim var’ dediğinde muaf tutuluyorlar. Kalp pilleri ciddi teknolojik cihazlardır. Vücudun içindeki titreşimi, örneğin mikser kullanmak, kolunu sallayacak herhangi bir eylem kalp pilinde olumsuz etki oluşturabilir. Soğuk havalarda vücutta oluşan ciddi titremeler kalp pilinin hafızasını karıştırıp kalbin durduğunu düşündürebilir ve gereksiz şoklama yapabilir. Bu tarz kişilerin soğuk havalarda daha temkinli olması gerekir" diye konuştu.






