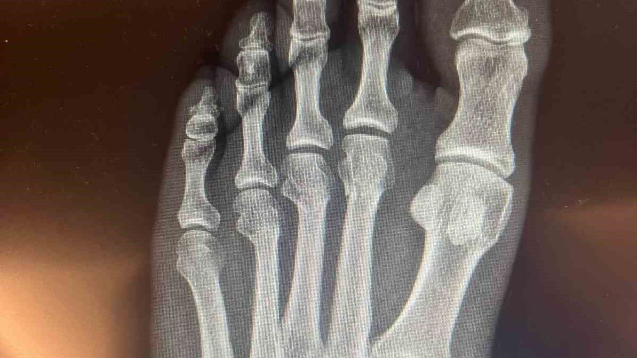
CHP Grup Başkanvekili Ali Mahir Başarır, geçen hafta TBMM’deki özel oturum öncesi gazetecilere yaptığı açıklamada, CHP Genel Başkanı Özgür Özel’in evde geçirdiği kaza sonucu ayağında ufak çaplı kırılma olduğunu duyurmuştu. Özel’in ayağında oluşan kırık hakkında sosyal medyada, Özel’in ‘ayağından vurulduğu’ iddiaları yer almıştı. Özel, tartışmalara ilişkin ayağının röntgen filmlerini paylaştı.

Kaynak: İHA




