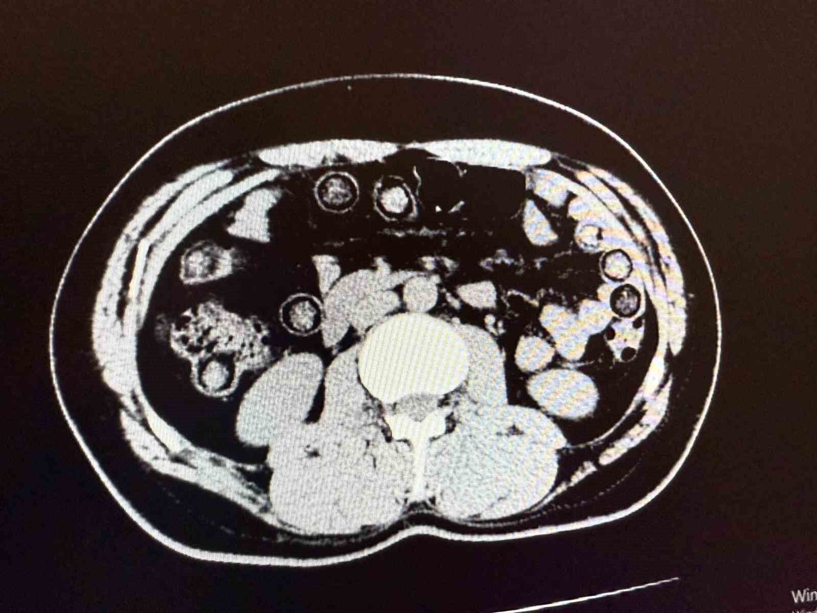
Muş’ta midelerinde 94 kapsül içerisinde 928 gram sentetik uyuşturucu olduğu belirlenen 2 İranlı, çıkarıldıkları mahkemece tutuklandı.
Muş Valiliği tarafından yapılan açıklamada, “Narkotik Suçlarla Mücadele Şube Müdürlüğümüzce uyuşturucu madde sevkiyatına engel olmak için yapılan çalışmalar neticesinde İran uyruklu 2 şahsın şehirlerarası yolcu otobüsü ile illere uyuşturucu madde nakli gerçekleştirebilecekleri değerlendirilmiş, 6 Aralık günü saat 11.30 sıralarında şüpheli şahısların görevlilerimizce yapılan sorgulamasında uyuşturucu madde naklettikleri yönünde kuvvetli şüphe oluşmuştur. Hastanede yapılan iç beden muayeneleri sırasında çekilen tomografi görüntülerine göre uyuşturucu madde yuttukları tespit edilmiştir. Hastanede yapılan tespit sonrasında şahısların midelerinde toplam 94 adet kapsül içerisinde daralı ağırlıkları 928 gram gelen metamfetamin maddesi ele geçirilmiştir. Şüpheli şahıslar hakkında ‘uyuşturucu ve uyarıcı madde ticareti’ suçundan işlem yapılmak üzere Cumhuriyet Başsavcılığına intikal ettirilmiş ve çıkarıldıkları mahkemece tutuklanmışlardır” denildi.





