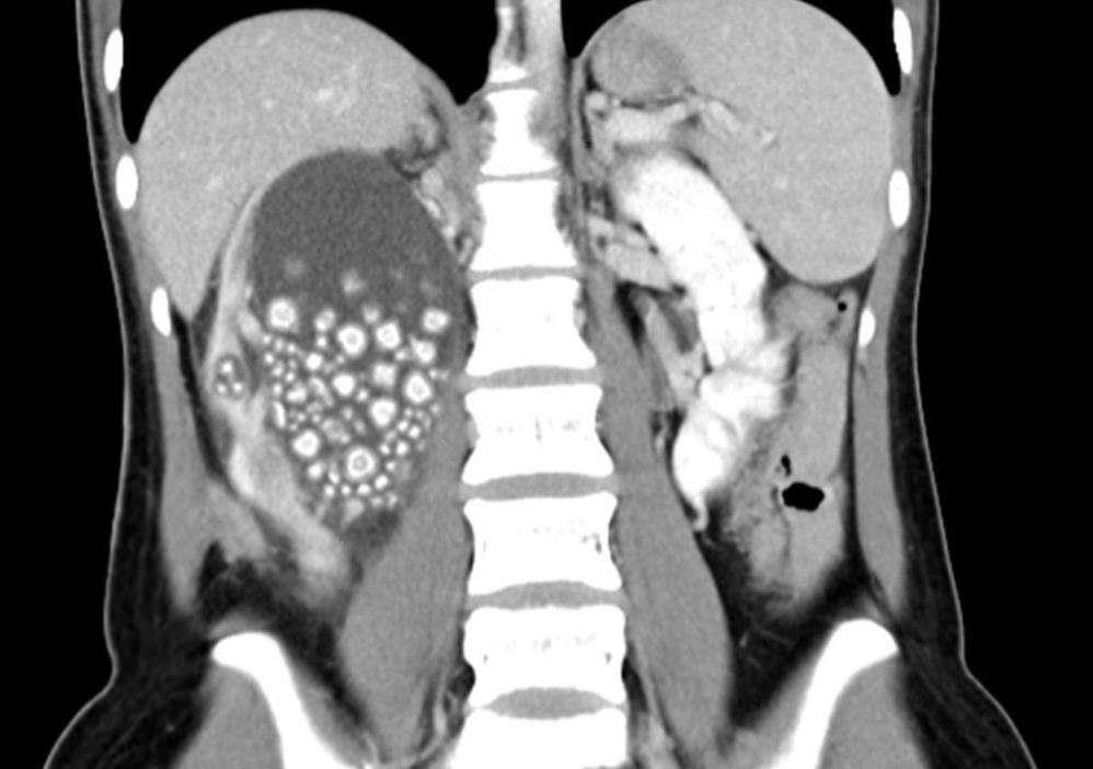
Tayvan'ın güneyinde yer alan Tainan şehrinde 20 yaşındaki Xiao Yu sırt ağrısı şikayetiyle hastaneye başvurdu. Yapılan tetkiklerin sonucunda böbreklerinde çok sayıda böbrek taşı tespit edilen Yu acil ameliyata alındı. Başarılı geçen ameliyatın ardından Yu'nun böbreklerinden 0.5-2 cm boyutlarında 300'den fazla böbrek taşı çıkarıldı.
Ameliyatın yapıldığı Chi Mei Hastanesi tarafından yapılan açıklamada, Yu'nun su içmeyi sevmediği ve sadece şekerli içecekler ile çay tükettiği belirtildi. Xiao Yu'nun beslenme alışkanlıklarının kötü olduğunu vurgulayan Chi Mei Hastanesi'ndeki doktorlar, Tayvanlılara daha sağlıklı gıdalar tüketmeleri ve bol bol su içmeleri konusunda uyarılarda bulundu.
Chi Mei Hastanesi Ürologu Lin Tsai-yang, Tayvan'daki erkeklerin yüzde 14,9'unda, kadınların ise yüzde 4,3'ünde böbrek taşı oluşma ihtimali bulunduğunu kaydetti.




