El-ayak-ağız hastalığı, son dönemde okul ve kreş çağındaki çocuklarda oldukça sık görülmeye başlandı. Damlacık yoluyla bulaşan ve deride döküntü, kabarcık gibi belirtiler gösteren hastalık hakkında bilgilendirmede bulunan Medicana Sağlık Grubu Doktorlarından Uzm. Dr. Mustafa Alper Aykanat, tedbir alınması gereken hususları açıkladı.
“Ateş, avuç içi, ayak tabanlarında döküntü, iştah kaybı ve yutma zorluğu belirtilerine dikkat”
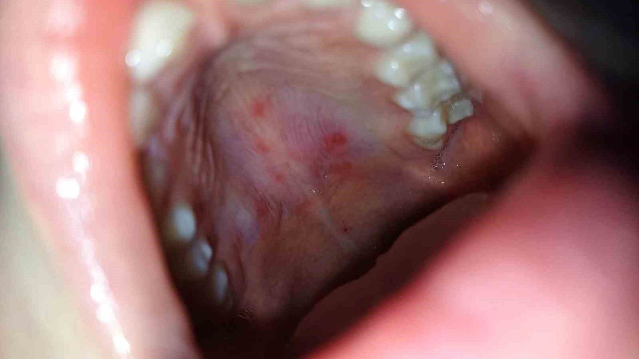
Hastalığın belirtileri ve dikkat edilmesi gereken hususlardan bahseden Medicana International Samsun Hastanesi Çocuk Sağlığı ve Hastalıkları Uzmanı Dr. Mustafa Alper Aykanat, “Ateş, boğaz ağrısı, dil, diş etleri ve yanakların iç kısmında kabarcık şeklinde lezyonlar, avuç içi ve ayak tabanlarında döküntü, bebek ve küçük çocuklarda huzursuzluk, iştah kaybı ve yutma zorluğu şeklinde belirtileri vardır. El-ayak-ağız hastalığı, küçük RNA virüsleri olan döküntülü bir hastalıktır. Hastalık damlacık yoluyla bulaşır bu nedenle okul ya da kreşteki çocuklar arasında bulaşması kolay olur. El- ayak-ağız hastalığı şüphesi olan çocuklarda pediatri hekimi çocuğun bilgilerini aileden aldıktan sonra fiziki muayeneyi yaparak tanısını koyar. Laboratuvar tetkikleriyle de desteklenir. El-ayak-ağız hastalığı tedavisi için özel bir uygulama yoktur. Bu hastalığının belirtileri genellikle 7 ila 10 gün içinde düzelir. Ağız yaralarının ağrısını hafifletmek için topikal oral anestezikler, çeşitli ağrı kesici ateş düşürücüler semptomları azaltmak için kullanılmaktadır. Hastalık döneminde sıvı tüketiminin artırılması, liften zengin, probiyotik içerikli gıdalarla beslenilmesi iyileşme açısından önemlidir. Ayrıca çocuk hastalık süresince dinlendirilmelidir” dedi.
“El-ayak-ağız hastalığı erişkinlere de bulaşabiliyor”
Çocuklarda daha sık görülen hastalığın, erişkinlere de bulaşabildiğine dikkat çeken Uzm. Dr. Aykanat, “El-ayak-ağız hastalığı bulaşıcıdır. Damlacık yoluyla bulaşır. El-ayak-ağız hastalığı, genellikle 1 hafta 10 gün içinde ilaç kullanarak, dinlenerek ve sağlıklı bir şekilde beslenerek düzelir. Daha şiddetli vakalar bazen birtakım komplikasyonlara neden olabilir ancak bu durum sık görülmez. Bol sıvı almak, temel beslenme prensibi olmalıdır. Ağızda yara olduğu için sert ve baharatlı acı gıdalar yarayı tahriş edeceğinden uzak durulmalı ve lifli gıdalarla beslenilmelidir. Hastalık sonrası iz kalma söz konusu değildir. Hastalığı önlemek için dengeli beslenmek, düzenli uyku ve bol sıvı alımı temel bağışıklık desteği olduğundan önemlidir. Erişkinlere dahil bulaşabilir. Aileler, özellikle kış döneminde omega ve D vitamini desteği yapmalıdır. Abur cubur dediğimiz paketli gıdalardan uzak durulması, çok sıcak ortamlarda uyumayı engellemesi de önemli hususlar arasındadır” diye konuştu.





